- At the clinic's price without markups
- with full doctor support
Istanbul has become a place where people from all over the world come for treatment. And the numbers reflect that interest: recent studies show that patient satisfaction with cosmetic and functional procedures in Turkey often reaches 75–85%, especially in areas like rhinoplasty and breast surgery. (Aesthetic Plastic Surgery Journal, 2021) That’s a strong signal that when the clinic and surgeon are chosen well, the results usually meet expectations. At Experts Medical, we’ve helped more than 12,000 patients over 9 years, guiding them through surgeries, consultations, diagnostics, and everything in between. Below, you’ll find clinics that patients actually choose and talk about - places known for steady results, experienced doctors, and care that doesn’t fade once the appointment is over.


1. Dr. MED Clinic
Dr. MED Clinic is a multidisciplinary aesthetic medicine center in Istanbul’s Şişli district, known for combining modern surgical techniques with a practical, patient-focused approach. The clinic works across several areas - plastic surgery, facial and body contouring, hair transplantation, bariatrics, and cosmetic dentistry, and most treatments rely on minimally traumatic, technology-driven methods like VASER liposuction, J-Plasma skin tightening, endoscopic facelift, and ultrasonic rhinoplasty. The team is fairly experienced, and many patients mention how much they appreciate the surgeons’ ability to explain the plan clearly without rushing through it. Among the specialists here are plastic surgeons Dr. Aykut Gok, Dr. Ibrahim Altoparlak, Dr. Hakan Teymur, and hair transplant expert Dr. Hakan Ikizoglu, each with long-term experience in their field. The clinic performs around 4,500 procedures a year and focuses heavily on achieving aesthetic results with short recovery times.
- Package price: Rhinoplasty from €3200, Hair transplantation from €2230
- Experts Medical rating: 4.9
- Specialization: Plastic surgery, hair transplantation, bariatric surgery, cosmetic dentistry
- Surgeries per year: 4,500
- Satisfied patients: 97–99.5% depending on procedure (facelift, liposuction)
- Year of foundation: 2016
Contact Information:
- Address: Halasgargazi, halasgargazi Cad. No:38-66, 34371, 34100 Şişli/İstanbul






2. Quartz Clinic
Quartz Clinic is a well-known aesthetic and plastic surgery center in Istanbul’s Nişantaşı district, a neighborhood that already feels a bit “medical luxury” on its own, and the clinic fits into that atmosphere naturally. Opened in 2015, it has grown into a place where patients come for everything from facial rejuvenation and rhinoplasty to Vaser liposuction, abdominoplasty, and various anti-aging procedures. What people tend to notice about Quartz is the mix of high-tech equipment and a soft, attentive approach - the clinic performs around 6,500 surgeries a year, yet the staff still tries to treat everyone as an individual case, not a number. The medical team is strong: plastic surgeon Dr. Leyla Arvas (over 20 years of experience), dermatologist Dr. Tugba Doruk, urologist Dr. Seref Basal, and hair transplant specialist Dr. Ali Karahan all work here, each focusing on their own niche.
- Package price: Tummy tuck from €4000, Breast reduction from €4100, Rhinoplasty from €3200
- Experts Medical rating: 4.8
- Specialization: Plastic surgery, hair transplantation, dermatology, cosmetology
- Surgeries per year: 6,500
- Satisfied patients: High satisfaction
- Year of foundation: 2015
Contact Information:
- Address: Harbiye Mah. Abdi İpekçi Cad. Park No:19-1 Kat:2 Nişantaşı-Şişli-İstanbul-Türkiye 34367






3. Istanbul Aesthetic Center
Istanbul Aesthetic Center is one of those clinics that combines a big volume of work with a surprisingly personal approach, which is probably why so many international patients mention feeling “looked after” from the moment they arrive. The center opened in 2014 and has grown into a busy hub for plastic surgery, hair transplantation, and aesthetic dentistry - more than 5,500 patients come here every year, and the clinic maintains ISO 9001 certification, which is a good sign of structured, consistent care. The surgical team is strong: Prof. Gurkhan Ozkan (over 35 years of experience), Dr. Ergin Er, Dr. Ilker Manavbasi, Dr. Ece Kalafatlar, and hair transplant expert Dr. Oya Sisman work here, each with their own specialty. The clinic is known for rhinoplasty, breast procedures, VASER liposuction, facelifts, and high-volume hair transplantation (around 1,800 transplants a year), and many patients appreciate the mix of modern equipment, straightforward communication, and clean, hotel-like conditions.
- Package price: Hair transplantation from €1600, Mammoplasty from €4500
- Experts Medical rating: 5.0
- Specialization: Plastic surgery, hair transplantation, dentistry, aesthetic medicine
- Surgeries per year: approximately 5,500
- Satisfied patients: High satisfaction
- Year of foundation: 2014
Contact Information:
- Address: Balmumcu, Bestekar Şevki Bey Sk. No:16-18, 34353






4. Orion Surgery Center
Orion Surgery Center is a large, modern aesthetic and surgical clinic in Istanbul’s Kagıthane district, spread across seven floors and built to function almost like a small medical ecosystem. It’s one of the newer premium centers in the city, equipped with 9 operating rooms, 25 patient rooms, and 13 dedicated hair-transplant suites, which tells you immediately that the clinic handles high volume without feeling crowded or chaotic. Orion was founded by a group of 10 experienced plastic surgeons who wanted to combine advanced surgical techniques with a more holistic approach to patient care. The clinic works across several specialties: plastic surgery, hair transplantation, cosmetic dentistry, and infusion therapies. Their surgical team includes well-known specialists such as Dr. Ilker Manavbasi, Dr. Metin Kerem, Dr. Candemir Ceran, Dr. Murat Sarici, Dr. Mahmut Ozgul, and Dr. Gokhan Haytoglu, each with 15–35 years of experience in their fields.
- Package price: Mammoplasty from €4500, Rhinoplasty from €3295, Liposuction from €3250
- Experts Medical rating: 4.9
- Specialization: Plastic surgery, hair transplantation, cosmetic dentistry, aesthetic medicine
- Surgeries per year: High surgical volume overall
- Satisfied patients: Over 10,000
- Year of foundation: 2023
Contact Information:
- Address: Hamidiye, Anadolu Avenue. Apt.18 B, 34406 Kâğıthane/İstanbul






5. Esteworld Plastic Surgery Center
Esteworld is a well-known network of four plastic surgery and aesthetic medicine centers located across Istanbul, and it’s one of those places patients often mention when they want structured, predictable care rather than a small boutique clinic. The group has been operating since 2004, holds ISO 9001-2008 certification, and works with advanced methods in rhinoplasty, facelifts, body contouring, mammoplasty, and especially hair transplantation - the clinic is known for FUE sapphire, robotic extraction, and DHI transplants with high survival rates. Many of the surgeons here are long-established specialists, including plastic surgeons Dr. Mert Canli, Op. Dr. Lutfi Tekes, and Dr. Bukem Cuce, as well as aesthetic specialist Prof. Ahmet Dogrul.
- Package price: Rhinoplasty from €3200, Mammoplasty from €4100
- Experts Medical rating: 5.0
- Specialization: Plastic surgery, hair transplantation, aesthetic medicine, dermatology, dentistry
- Surgeries per year: Thousands
- Satisfied patients: High satisfaction across rhinoplasty, mammoplasty, and hair transplantation
- Year of foundation: 2004
Contact Information:
- Address: Altunizade Mah. Kısıklı Cad. No:7 Üsküdar / Istanbul






6. Estetik International Clinic
Estetik International is one of those clinics that people often hear about long before they ever plan a trip to Istanbul, mostly because of its founder, Prof. Bulent Cihantimur, whose techniques became recognizable far outside Turkey. The network has been growing since 1999, now with 6 clinics in Istanbul and Bursa, and it works across almost every aesthetic field: plastic surgery, body contouring, hair transplantation, dentistry, and non-surgical rejuvenation. The clinic handles large volumes, including more than 85,000 hair transplants and over 100,000 satisfied patients, which explains the steady flow of people who come here specifically for advanced facelifts, complex post-bariatric surgeries, and revision procedures. Estetik International also attracts strong specialists: besides Cihantimur, the team includes Prof. Selcuk Aytac, Prof. Cenk Sen, Dr. Rıza Kanturk, and several other experienced surgeons who focus on rhinoplasty, facial reconstruction, breast surgery, and body shaping.
- Package price: Mammoplasty from €2500, Face lifting from €5000, Hair transplantation from €1100
- Experts Medical rating: 4.7
- Specialization: Plastic surgery, hair transplantation, aesthetic medicine, cosmetic procedures
- Surgeries per year: High-volume
- Satisfied patients: 100,000+
- Year of foundation: 1999
Contact Information:
- Address: Fulya Mah. Büyükdere Cad. Quasar No:76/80 Mecidiyeköy / İstanbul, 34394 Turkey






7. Cosmedica Clinic
Cosmedica is a clinic people usually hear about through real stories, and the name Dr. Levent Acar pops up again and again. The clinic has been working since 1997, focusing almost entirely on hair transplantation, which gives it a very narrow but extremely polished specialization. Over the years they’ve carried out more than 20,000 procedures, and most of the work revolves around modern FUE and DHI Sapphire techniques with a reported 98% graft survival rate. The clinic is led by Dr. Acar, a specialist with over 16 years of experience, and supported by a team trained specifically in high-density transplantation, needle-free anesthesia, and multi-day DHI sessions when needed. For anyone focused strictly on hair restoration rather than full-body aesthetics, Cosmedica stands out as one of the most specialized options in the region.
- Package price: Hair transplantation from €2230
- Experts Medical rating: 5.0
- Specialization: Hair transplantation (FUE, DHI, Sapphire)
- Surgeries per year: 1000+
- Satisfied patients: >20,000 successful operations
- Year of foundation: 1997
Contact Information:
- Address: Esentepe, Kore Şehitleri Cd. No:2/1, 34394 Şişli/İstanbul






8. Medical Park Clinic
Medical Park is one of the biggest medical networks in Turkey, and people usually notice how it feels more like a full hospital system than a single clinic - with its 4,100 beds, 14,000 staff, and centers that cover everything from cardiac surgery and neurosurgery to oncology, IVF, orthopedics, and plastic surgery. It’s also a place where patients can meet very experienced doctors, for example, bariatric surgeon Dr. Ibrahim Karatas, plastic surgeons like Dr. Akin Zengin, and many others across different specialties.
- Package price: Hair transplantation from €1800, Rhinoplasty from €2600
- Experts Medical rating: 4.9
- Specialization: Plastic surgery, hair transplantation, dentistry, bariatric surgery
- Surgeries per year: High volume
- Satisfied patients: Thousands across all departments
- Year of foundation: 1993
Contact Information:
- Address: Bahçelievler Mahallesi, E-5 Karayolu / Kültür Sok No:1, 34180 Bahçelievler/İstanbul






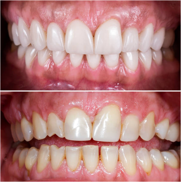
9. YEG Clinic
YEG Clinic is a dental center in the Nişantaşı district of Istanbul. The clinic focuses on aesthetic and orthopedic dentistry, and because they have an in-house digital lab with CAD/CAM systems and 3D tomography, full smile transformations: veneers, zirconium crowns, implants, are often completed in 4 days, which is a big reason why so many international patients choose it. Around 95% of their patients come from abroad, and the team performs more than 120 full smile makeovers each year with a documented 97% procedure success rate. The doctors are well-known for different parts of dental surgery: maxillofacial surgeon Dr. Omer Oner, aesthetic dentist Birkan Duras, implant and bone-grafting specialist Dr. Ahmet Dajani, and surgeon Dr. Soner Sagaltıcı, who handles complex reconstructive cases. The clinic works with materials from brands like Straumann, Nobel Biocare, Osstem, and Zirkonzahn, which helps keep results consistent whether someone comes for a single implant or a full All-on-4 restoration.
- Package price: from €240 per implant with life time guarantee
- Experts Medical rating: 4.9
- Specialization: Dentistry, maxillofacial surgery, implants, veneers, zirconium crowns, smile design
- Surgeries per year: 120+ full smile restorations (plus daily dental procedures)
- Satisfied patients: 99%
- Year of foundation: 2019
Contact Information:
- Address: TEŞVİKİYE MH. VALİKONAĞI CD. NO 3, KAT:1 NİŞANTAŞI / ISTANBUL / TURKIYE






10. Esnan Dental Clinic
Esnan Dental Clinic is a large dental network in Istanbul with four branches. The clinic has been operating since 2007 and works with ISO 9001, ISO 14001, and ISO 45001 standards, using digital dentistry across every step: 3D tomography, Digital Smile Design, CAD/CAM modeling, and laser-assisted procedures. Thousands of patients have been treated here (including locals and international visitors), and the team is strong across all dental specialties - from aesthetic dentistry with Dr. Ercan Emren and Dr. Songul Salis, to complex implantology and maxillofacial surgery with Dr. Orkhan Gechor and Dr. Serdar Yenigun. Many patients choose Esnan because everything is done under one roof - diagnostics, surgery, lab work, prosthetics, which means implants, All-on-4/6, veneers, and full-mouth rehab can be completed quickly and with high precision. The clinic uses CE-certified materials (Straumann, Nobel, MIS, Osstem), offers sedation for anxious patients or children, and has strict sterilization protocols with HEPA-filtered rooms and automated instrument processing.
- Package price: from €450 per implant
- Experts Medical rating: 5.0
- Specialization: Implants, aesthetic dentistry, maxillofacial surgery, orthodontics, veneers, All-on-4/6, pediatric dentistry
- Surgeries per year: High-volume center with 60 dentists
- Satisfied patients: Thousands
- Year of foundation: 2007
Contact Information:
- Address: Ayazağa Mahallesi Azerbaycan Caddesi Skyland İstanbul D Blok 4 No'lu Giriş, No:333 Atrium B - Kat3, 34415 Sarıyer/İstanbul






11. Inter-Dent Oral and Dental Health Clinic
Inter-Dent is one of the older dental centers in Istanbul - it’s been working since 1991. The clinic sits in the southern part of the city, near the Marmara Sea, and it attracts patients who want solid, science-based dentistry rather than a rushed “dental tourism” experience. Inter-Dent has treated more than 80,000 patients, and much of the work relies on modern diagnostics like 3D tomography, panoramic X-rays, ozone therapy, and laser units for painless treatments. Their team includes experienced specialists such as Dr. Halil Taser (over 35 years in periodontics, oral surgery, and implantology) and Dr. Ali Sukru Aykut (prosthetics and implantology with 30+ years of experience). Patients come here for implants, sinus lifts, bone grafting, All-on-4/6, veneers, lumineers, orthodontics, and routine dentistry, but many also mention how the doctors avoid unnecessary procedures and take time to explain each step.
- Package price: from €300 per implant
- Experts Medical rating: 5.0
- Specialization: Implants, prosthetics, periodontics, veneers, lumineers, orthodontics (Invisalign), pediatric dentistry, bone grafting
- Surgeries per year: 80,000+ total treated patients
- Satisfied patients: 80,000+
- Year of foundation: 1991
Contact Information:
- Address: Bağdat Caddesi No: 333 / 2 Erenköy - İstanbul - TÜRKİYE






12. Private Cevre Hospital
Cevre Hospital has been around since 1983, and over the past 40+ years it has grown into a multidisciplinary center that people often choose for plastic surgery, IVF, cosmetic dentistry, and check-up programs. What most patients usually point out is the mix of technical capability and a very hands-on team - surgeons like Dr. Ali Cem Oktay, Dr. Duran Cekic, and Dr. Samet Cagri Coskun all have solid experience in aesthetic and reconstructive surgery, while IVF care is led by Dr. Ahmet Fatih Oguc, who has been working in reproductive medicine for nearly 30 years. The hospital performs a wide range of procedures: rhinoplasty, facelifts, abdominoplasty, liposuction, breast surgery, hair transplantation, and infertility treatment with techniques like PRP therapy and lymphocyte vaccination. Cevre also provides cosmetic dentistry (veneers, implants, Hollywood smile) and structured check-up packages with imaging, lab tests, and specialist evaluations. With 4,336 patients per year and ISO 9001 certification, it’s one of those Istanbul clinics where people often comment on the staff’s attentiveness.
- Package price: Rhinoplasty from €2100, Mammoplasty from €2950
- Experts Medical rating: 4.5
- Specialization: Plastic surgery, IVF, cosmetic dentistry, hair transplant
- Surgeries per year: 4,336+ patients yearly
- Satisfied patients: High satisfaction
- Year of foundation: 1983
Contact Information:
- Address: Cemal Sahir Street, No:4 Mecidiyeköy-ŞİŞLİ / Istanbul / Turkey




How the Procedures Work and How Long You Stay in Turkey
Before any surgery, people usually ask the same things: How is the procedure done? How long will I stay in the clinic? When can I fly home? Each operation has its own pace, but most follow a similar structure.
Usually, you arrive in Istanbul 1 day before surgery for tests and an in-person consultation. The procedure is done the next morning. After that, most patients stay in the clinic for 1 day, then recover in a nearby hotel while the medical team checks in regularly. For the majority of surgeries, you’ll need about 7 days in Istanbul in total. This gives enough time for bandage changes, early healing, and a final check-up before flying home.
There are a few exceptions where the timeline is a little different:
- Blepharoplasty (eyelid surgery): 1 day in the clinic, 5 days in Istanbul. Recovery is quick, and swelling usually settles enough for travel by the fifth day.
- Gastric sleeve surgery: 1 day in the hospital, 6 days in Turkey overall. Most patients feel stable after day 2 or 3, but the surgeon monitors hydration and diet progression.
- Tummy tuck (abdominoplasty): 2 days in the clinic, 7 days in Istanbul. There are drains, compression garments, and the body needs a bit more time before flying.
- Hair transplant: 0 days in the hospital, 3 days in Istanbul. The procedure is done in a single session, followed by a couple of short check-ups.
- BBL (Brazilian Butt Lift): 2 days in the clinic, 7 days in Istanbul. This procedure requires a bit more postoperative monitoring because of swelling and fluid shifts.
These timeframes come from real patient patterns, not theoretical numbers. Clinics in Istanbul are used to working with international patients, so the schedules are designed to be safe, predictable, and practical for people traveling from abroad. If you want, I can also add a quick comparison table or short descriptions of how each surgery is actually performed.
Patient Satisfaction With Cosmetic and Plastic Surgeries in Istanbul
Choosing where to have surgery matters, of course, but hearing how other patients felt afterward usually tells a much more honest story. Istanbul and Turkey in general have built a big reputation in cosmetic and plastic surgery, and the data backs up a good portion of that reputation. Here’s a look at what recent studies say - not the marketing stuff, but actual research.
High Satisfaction in Rhinoplasty and Nose Procedures
Rhinoplasty is probably the most requested cosmetic surgery in Istanbul, so it’s useful to know how patients actually feel afterward.
One Turkish study followed people who had septorhinoplasty, basically surgery that helps both breathing and appearance, and the numbers were surprisingly solid. Patients started with an average satisfaction score around the mid-40s, and six months later that jumped to almost 79 out of 100. People cared more about the aesthetic result than the functional part, which probably isn’t shocking, but it’s still good to see it confirmed by data. (Turkish Archives of Otorhinolaryngology, 2022)
Breast Surgery Satisfaction Also Tends to Be High
Another study looked at women who had breast reduction surgery in Turkey. Their average satisfaction level reached 84%, which is pretty high for a procedure that’s both medical and aesthetic. One interesting detail: the actual amount of tissue removed didn’t change how satisfied patients felt. What mattered more was whether the doctor explained everything clearly beforehand. When expectations were clear, people felt better about their results. (Aesthetic Plastic Surgery Journal, 2021)
Why Turkey Scores Well Overall
Besides the scientific studies, Turkey is repeatedly mentioned in international health reports as a popular destination for cosmetic surgery. Some of that is affordability, yes, but it’s also the way clinics organize care - fast scheduling, modern equipment, and surgeons who have loads of practical experience.


Experts Medical: How We Help You Choose and Navigate Clinics in Istanbul
Organizing treatment abroad can feel overwhelming, especially when you’re dealing with stress, uncertainty, or a diagnosis that changes your whole routine. Our job at Experts Medical is to take that weight off your shoulders. For more than 9 years, we’ve guided over 12,000 patients through surgeries, check-ups, complex diagnoses, and long-term therapies in trusted international clinics, and we’ve stayed with them at every step.
What We Actually Do for You
We always begin by understanding your medical situation. We study your scans, test results, and previous treatments so foreign doctors receive a clear picture from the start. After that, we choose the most suitable specialist - not by guesswork, but through a medical commission that compares qualifications, experience, and treatment history.
Once the medical part is clear, we take care of the practical side. Travel, accommodation, transfers, interpreters, scheduling - all the pieces that normally create stress, we handle them for you. And when treatment begins, we stay in touch 24/7 to guide you through any questions or unexpected moments.
Our Advantages
- We work with more than 100 licensed international clinics and only verified doctors.
- You don’t pay us anything - all payments go directly to the clinic after arrival.
- We provide treatment programs at original clinic prices, without extra fees.
- We prepare medical files and communicate directly with the clinic’s medical team.
- We organize the entire trip: tickets, hotel, transfers, interpreter, scheduling.
- We offer full support 24/7, during treatment and recovery.
- You receive one personal coordinating doctor who stays with you through the whole process.
- We can arrange urgent treatment programs in as little as 3 hours when needed.
Many of our patients still write to us months later - sometimes with medical updates, sometimes just to share good news. That connection is the real measure of our work. Treatment abroad should feel safe and clear, and that’s exactly what we’re here to provide.
Conclusion
Choosing a clinic in Istanbul isn’t really about chasing the “best.” It’s about finding a place that fits your case, your health history, and your expectations. Some patients need a surgeon who handles complex revisions, others want a clinic with stronger diagnostic capacity, and some simply want a team that communicates clearly and stays present during recovery. Istanbul has enough options to match all of that, which is why people keep coming back here.
FAQ
How important is surgeon-to-anesthesiologist coordination in Turkish clinics?
More important than people think. In Istanbul’s high-volume plastic surgery centers, the anesthesiologist often follows the same surgeon for years, which means they know each other’s pace and techniques. This usually results in smoother operations and lower anesthesia time. If you’re planning a complex procedure, ask whether the surgeon works with a fixed anesthesia team or rotates.
Are the post-op protocols in Istanbul different from those in Western Europe or the US?
Yes, slightly. Turkish clinics often combine medical routines with additional supportive care: lymphatic drainage after body contouring, ozone therapy, PRP for wound healing, and laser sessions for scar management. These are optional, but many clinics use them to speed up recovery for international patients who have limited time before they fly home.
Does Experts Medical influence which clinic a patient chooses?
No, patients decide. We, at Experts Medical, provide medical interpretation of your case, send your files to clinics, and give you honest feedback on which surgeons match your medical history. The team also tracks patient outcomes, complications, and revision statistics across the clinics they work with. That’s why their recommendations are based on actual results, not popularity.







