







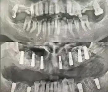
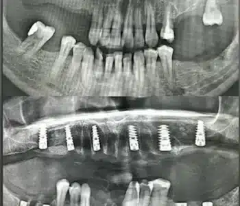
Dr. Seden Aksu is a specialist in modern implantology and surgical dentistry with extensive experience in the management of complex clinical cases. In her practice, she applies comprehensive surgical planning, minimally invasive techniques, and advanced regenerative technologies aimed at restoring both the function of the dentoalveolar system and the aesthetics of the smile. Dr. Aksu has significant experience in performing implant procedures, bone augmentation, and periodontal surgery, including the treatment of patients with severe bone loss. The primary goal of her work is to achieve stable, long-term outcomes in implant rehabilitation and the restoration of oral tissue health.
Specialization:
