



La Clínica Dental IME está situada en el prestigioso barrio de Bakırkey de Estambul. La combinación de arquitectura histórica y moderna tecnología médica crea un ambiente especial para los pacientes.
Las principales áreas de actividad de la Clínica Dental IME son la colocación de carillas y coronas, la fabricación de prótesis y puentes, la implantación dental, la sonrisa Hollywood, la ortodoncia y el blanqueamiento dental. La Clínica Dental IME también coloca coronas totalmente de zirconia. Éstas están fabricadas íntegramente con dióxido de circonio y son muy resistentes en comparación con otros tipos de coronas.
El centro médico sigue estrictamente los protocolos internacionales de esterilización y desinfección - esta es la base para un tratamiento seguro en condiciones modernas. Los dentistas experimentados de la Clínica Dental IME aprenden constantemente nuevas técnicas y aplican enfoques actuales al tratamiento. Cuando surgen casos no estándar, los médicos de la Clínica Dental IME recurren a la revisión por pares a través de una plataforma científica. Este enfoque permite encontrar la mejor solución incluso en situaciones complejas.
Crear una sonrisa de Hollywood en la Clínica IME de Turquía es un proceso personalizado. Los médicos analizan los rasgos faciales, la forma de los labios y los deseos de cada persona para lograr un resultado natural y armonioso. El procedimiento puede incluir un blanqueamiento profesional, la colocación de carillas y, si es necesario, la corrección de las encías.
Las carillas se fabrican con cerámica de alta calidad o materiales compuestos modernos. Estas finas placas enmascaran las imperfecciones de los dientes delanteros: astillas, oscurecimientos, irregularidades o huecos. La vida útil de las carillas es de hasta 10-15 años si se siguen las recomendaciones del médico.
Como parte de la creación de una sonrisa de Hollywood, la Clínica IME ofrece:
La Clínica Dental IME ofrece implantes dentales profesionales, una solución fiable para sustituir los dientes perdidos. El procedimiento consiste en la inserción de un implante de titanio en el tejido óseo de la mandíbula, que actúa como una raíz artificial. Se coloca una corona sobre el implante, que tiene el mismo aspecto y funcionalidad que el diente natural. Esta tecnología proporciona una solución duradera y estéticamente agradable al problema de la falta de dientes.
El tratamiento se realiza por etapas. En primer lugar, el cirujano coloca el implante en el lugar preparado en el hueso. Después viene el periodo de injerto. Suele durar entre 3 y 6 meses. Durante este tiempo se produce la osteointegración: la raíz de titanio se fusiona con el tejido óseo. La etapa final es la colocación de la corona, que tiene el aspecto de un diente normal.
Las técnicas All-on-4 y All-on-6 también están disponibles en el Centro IME. Consisten en la colocación de una prótesis fija completa sobre 4 ó 6 implantes.
Los especialistas de la clínica utilizan:
Un implante colocado correctamente dura décadas y a veces toda la vida.
Los médicos del Centro IME fabrican coronas dentales diseñadas para cubrir y proteger un diente dañado o debilitado. Estas estructuras dentales pueden restaurar la forma, el tamaño y la función de un diente al tiempo que mejoran su aspecto. Las coronas desempeñan un papel importante en la odontología restauradora, ya que aportan beneficios tanto estéticos como estructurales. Se utilizan para proteger y fortalecer los dientes después de un tratamiento endodóntico o de un daño importante por caries.
Serán necesarias dos visitas al dentista para colocar la corona. En la primera, el dentista tallará el diente y tomará impresiones. Mientras se prepara la corona permanente, el diente se cubre con una protección especial. En la segunda visita, la corona terminada se fija con un cemento especial.
Opciones de materiales para coronas en la clínica:
La vida útil de las coronas es de 10-15 años, e incluso más con cuidados regulares.
El proceso de tratamiento ortodóncico en la clínica implica el uso de varios aparatos como brackets, elinas o retenedores para mover gradualmente los dientes hasta la posición óptima. Tras un examen exhaustivo que incluye radiografías e impresiones, el ortodoncista elabora un plan de tratamiento personalizado. Los aparatos ejercen una suave presión sobre los dientes, moviéndolos lentamente hasta la posición correcta. La duración del tratamiento varía en función de la complejidad del caso, pero la mayoría de los tratamientos de ortodoncia duran entre 12 y 24 meses.
Los especialistas de la Clínica Dental IME ofrecen varios tipos de aparatos de ortodoncia para tratar los dientes desalineados y los trastornos de la mordida:
La clínica ofrece un enfoque integral del tratamiento de ortodoncia, con un seguimiento periódico de los progresos y los ajustes necesarios de los aparatos.
Para obtener más información sobre las opciones de tratamiento en la Clínica Dental IME, deje su consulta en línea. El coordinador de Experts Medical responderá a todas sus preguntas y se encargará de todos los preparativos de su tratamiento dental en Turquía.
Odontología
Sonrisa de Hollywood
Colocación de carillas
Implantes dentales
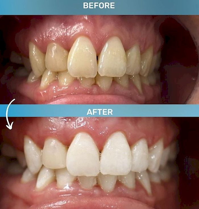
Blanqueamiento dental
Odontología estética
| Coronas metálicas con carilla de porcelana | 120 € | Solicitar precio |
| Coronas monolíticas de óxido de circonio | 149 € | Solicitar precio |
| Chapas laminadas E-Max | 210 € | Solicitar precio |
| Prótesis completa acrílica 1 cara | 571 € | Solicitar precio |
| Prótesis completas de metal 1 cara | 762 € | Solicitar precio |
| Prótesis híbridas monolíticas (1 maxilar) | 1 629 € | Solicitar precio |
| Dentaduras híbridas Todas en 4 1 cara | 1 905 € | Solicitar precio |
| Prótesis provisionales 1 cara | 190 € | Solicitar precio |
| Protectores bucales nocturnos 1 cara | 76 € | Solicitar precio |
| Implantes Venus (Turquía) | 149 € | Solicitar precio |
| Implantes Medigma Biothech (Alemania) | 199 € | Solicitar precio |
| Implantes Ires (Suiza) | 381 € | Solicitar precio |
| Implantes Straumann (Suiza) | 952 € | Solicitar precio |
| Lifting de senos paranasales | 476 € | Solicitar precio |
| Injerto óseo 1 cc | 210 € | Solicitar precio |
| Membrana | 210 € | Solicitar precio |
| Extracción dental | 29 € | Solicitar precio |
| Extracción dental quirúrgica | 67 € | Solicitar precio |
| Extracción de dientes retenidos | 95 € | Solicitar precio |
| Limpieza dental (Detertraj) | 95 € | Solicitar precio |
| Limpieza dental (Detertraj) 2 sesiones | 143 € | Solicitar precio |
| Blanqueamiento dental (Bleaching) | 190 € | Solicitar precio |
| Legrado gingival 1 maxilar | 286 € | Solicitar precio |
| Empaste estético | 57 € | Solicitar precio |
| Material de relleno compuesto | 48 € | Solicitar precio |
| Tratamiento del conducto radicular | 76 € | Solicitar precio |
| Botox en los músculos maseteros 2 lados | 267 € | Solicitar precio |
Especialidad:
Formación:
Experiencia y logros:
Membresías y asociaciones:
Especialidad:
Formación:
Membresías:
Especialización:
Educación:
Experiencia clínica:
Especialización:
Educación:
Experiencia clínica:


Nos comunicaremos con usted dentro de 15 minutos.

